Услуги профессиональной стоматологии
г. Москва, Бескудниковский бульвар 6к2
пн-вс 09:00–21:00
без перерывов и выходных


До
После
Лечение кариеса


До
После
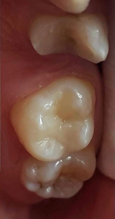
Лечение кариеса 14 и 16 зубов


До
После
Лечение кариеса и восстановление зубов вместе со стеночками пломбой


До
После
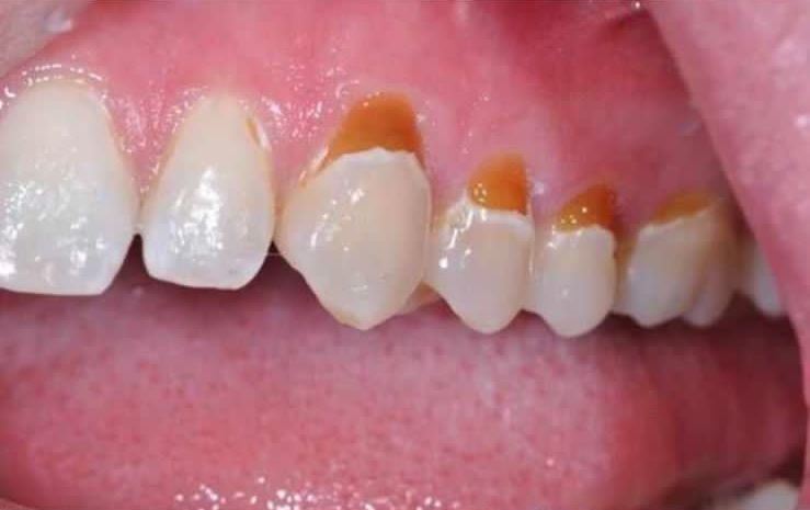
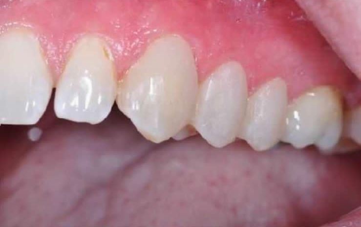
Лечение клиновидного дефекта


До
После
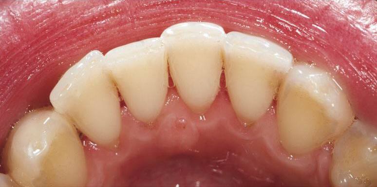
Профессиональная гигиена полости рта
ЗАДАЙТЕ ВОПРОС СПЕЦИАЛИСТУ
Услуги профессиональной стоматологии
ООО "ГЕРМЕС"
ИНН 7715965521
ОГРН 1137746476295
silver-d@internet.ru
Адрес клиники: г. Москва, Бескудниковский бульвар 6к2